Recent changes to the CR2B
Background
The changes were implemented from June 2025 to align the exam with current practice GMC standards for assessment. This aims to ensure the exam continues to be a fair and robust assessment of the knowledge and skills required across the curriculum at the expected level of competence.
Some core elements of the exam remain the same:
- The CR2B exam consists of three components; an Oral component and two reporting components.
- All components are taken at the same sitting.
- The type and level of content included in the exam remains unchanged.
Oral component
The Oral component continues to be delivered across two sessions, each lasting 30 minutes and each with a pair of examiners presenting cases to the candidates. Candidates are still required to attend an exam venue and the Oral will be delivered via video link with the examiners.
Examiners present cases using a range of imaging modalities. Candidates will have the ability to manipulate and scroll through images.
The level and type of content used within the Oral component remains the same.
A logical and informed approach to image interpretation, as well as a clear ability to debate the merits, relevance and role of techniques that might assist in further investigation of diagnostic problems, are expected. Examiners may ask supplementary questions to further assess a candidate’s understanding of the problem.
The following changes have been introduced:
- Changes to the system of scoring with the use of a domain-based marking approach and a new standard setting methodology.
- Increased standardisation of the exam. There is a central bank of Oral cases and candidates will be presented with a set of cases that have been quality reviewed. The set of cases will be balanced across the syllabus and for difficulty. All candidates will encounter the same number of cases (six cases per Oral session, 12 cases in total)
- Candidates can expect cases of varying difficulty (some being expected to be relatively easy and some harder). This is accounted for in marking and standard setting.
- All candidates being examined on the same day will be presented with the same set of cases. To support this, candidate quarantine has been introduced. This means a period of waiting before/after the Oral sessions in a designated waiting area. Arrival and departure times will be indicated to candidates on their timetables. This step is important to ensure that the exam security is maintained
- The delivery of the exam has moved to the Risr/Assess platform. This platform supports the video link between examiners and candidates and the sharing of cases with the candidate. This is the same platform used for the CR2B reporting components
Reporting components
The two separate reporting components continue to be delivered on the same day. Candidates are still required to attend an exam venue and both components are delivered via the risr/Assess platform.
Across the reporting components, there are no fixed criteria for coverage of specific pathology, but content will be appropriately balanced and representative. The cases may vary in complexity and difficulty – this will be accounted for in standard setting.
Long case reporting
There has been no change to the format, exam structure, or content of this component. It continues to be six cases, each of which requires a report. Each case may comprise multiple modalities and sequences. Brief case histories and other relevant clinical data for each case are provided.
Candidates responses are recorded in a standard format:
- Observations: observations from all the imaging studies available, including relevant positive and negative findings.
- Interpretation: interpretations of the observed findings; for example, describing whether the mass or process observed is benign, malignant or infective rather than neoplastic, giving reasons.
- Main or Principal Diagnosis: A single diagnosis based on the interpretations. If a single diagnosis is not possible, then the most likely diagnosis should be stated.
- Any Differential Diagnoses: For some cases there will be no differential diagnoses; in others a few may merit inclusion. These should be limited in number and brief, and the report should indicate why these were less likely than the main or principal diagnosis above.
- Any Relevant Further Investigations or Management: Any further appropriate investigations or clinical management.
The following has been introduced:
- Changes to the scoring system and standard setting
Short case reporting
This new assessment replaces the old rapid reporting component. This current component does not represent a fundamental change in what is assessed i.e. it remains primarily intended to assess interpretation of plain radiographs. The current question format will allow for more complex imaging to be used – but still appropriate to the level of the exam. The format is as follows:
- A short answer question type. Candidates will be presented with a case which will include a brief clinical history and plain radiograph. Candidates will be asked to write a short report and include their next recommended management step for the patient.
- There will be 25 questions in the component, and a two-hour duration.
- A scoring system to align with the question format and use of standard setting is used.
- The component will not include cases where the images would be considered as ‘normal’.
The coverage of chest, musculoskeletal and abdominal X-rays falls approximately within the ranges indicated below:
- CXR: 50-60% of the set
- MSK: 40-50% of the set
- AXR: up to 4% (1 question) of the set
The coverage of adult and paediatric cases is split as indicated below:
- Adult cases: approximately 75%
- Paediatric cases: approximately 25%
Short case reporting sample questions
Sample short cases and sample answers are provided below to give guidance on the difference between high scoring, medium scoring and low scoring answers. Short, simple statements of your observations, diagnosis and recommendation are all that is needed. You do not need to write full sentences.
The examiner marking guidance shown next to the sample answers is intended to give context on the marking of each case. The examiner marking guidance indicates key findings, diagnosis and recommended onward management. There is also brief commentary next to the sample answers to explain why the specific answer may score in that way. Examiners will use the mark scheme descriptors (as detailed in the scoring system) alongside this marking guidance to score candidates’ responses and each case will be awarded a score of 0 – 5. There is no concept of a pass or fail per case as all cases are standard set as to their difficulty. The modified Angoff process is used to determine the pass mark for each sitting based on the content used.
We suggest that before reviewing the resources below, candidates preparing for the exam review the content in the risr/assess demonstration site. The demonstration site includes the same content but the images will be optimised for viewing and provide better examples of the image quality in the exam.
Please note that the examiner marking guidance will not be available to candidates as part of their results/feedback.
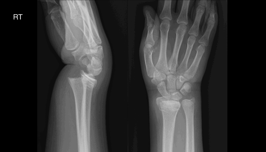
Age 14, male. Referral from ED. History: Painful wrist after falling off skateboard.

Examiner marking guidance:
Age 14, male. Referral from ED. History: Painful wrist after falling off skateboard.
Findings:
Fracture through distal (growth plate of) radius
Dorsal displacement of distal radial epiphysis
Metaphysis intact
Diagnosis Salter Harris I fracture distal radius
Ulnar styloid fracture
| Sample answer | Answer type | Explanation of scoring allocation |
|
Distal radius fracture through the growth plate, with dorsal displacement. |
High scoring answer |
This answer would score highly because it is concise, well-structured and the candidate has made all the relevant observations including growth plate involvement. It is anatomically accurate with correct classification of the fracture. The report has been appropriately escalated. |
|
There is a displaced fracture of the distal radius with dorsal displacement (Colles type fracture). |
Mid-scoring answer |
This answer would not score so highly because the candidate has failed to recognise that the fracture involves the distal radial growth plate. |
|
Left radiocarpal dislocation No fracture |
Low scoring answer |
This answer has a low score because the candidate has misinterpreted the findings and made an incorrect diagnosis |
Age 81 male. Referral from GP. History: Cough and weight loss

Examiner marking guidance:
Age 81 male. Referral from GP. History: Cough and weight loss
Findings:
Bilateral pleural plaques indicating previous asbestos exposure
Volume loss left hemithorax due to left lower lobe collapse with no visible hilar mass (no Goldens S sign)
DD central obstructing mass (small lung cancer or endobronchial lesion)
Management:
Review old imaging and, if new, expedite urgent CT chest/abdomen + IV contrast
Urgent referral to lung MDT/chest clinic
Comment: Recommending bronchoscopy and biopsy before CT is not unreasonable. Mucous plugging less likely than central obstructing lesion but possible.
| Sample answer | Answer type | Examiner marking guidance |
|
Triangular opacity projected over the left heart with obscuration of the medial left hemidiaphragm and loss of volume of the left hemithorax. Appearances are in keeping with left lower lobe collapse. Lungs show multiple confluent opacities some showing appearance in keeping with pleural plaques (I would compare with previous studies) suggesting previous asbestos exposure. No pleural effusion. The appearance is suspicious for a central left lung cancer although other endobronchial lesions including mucus plugging are possible. Urgent CT chest and upper abdomen to further investigate. |
High scoring answer |
This answer would score highly because the candidate has written a concise, well-structured report, made all the relevant observations including evidence of previous asbestos exposure, and made safe and appropriate further imaging and management suggestions. |
|
Left lower lobe collapse with volume loss CT thorax, abdomen and pelvis for further evaluation and staging |
Mid scoring answer |
This answer would not score so highly because although the left lower lobe collapse is reported, the pleural plaques have been misinterpreted as lung nodules and the candidate has not given a diagnosis or differential diagnoses to explain the reason for the left lower lobe collapse. |
|
Right upper zone mediastinal mass medially likely posterior mediastinum, apical/parenchymal mass cannot be excluded. Bilateral ill-defined patchy focal lesions and reticular opacities. |
Low scoring answer |
This answer is low scoring because the candidate has failed to observe the left lower lobe collapse or pleural plaques and has over-diagnosed a right upper mediastinal/lung mass. |
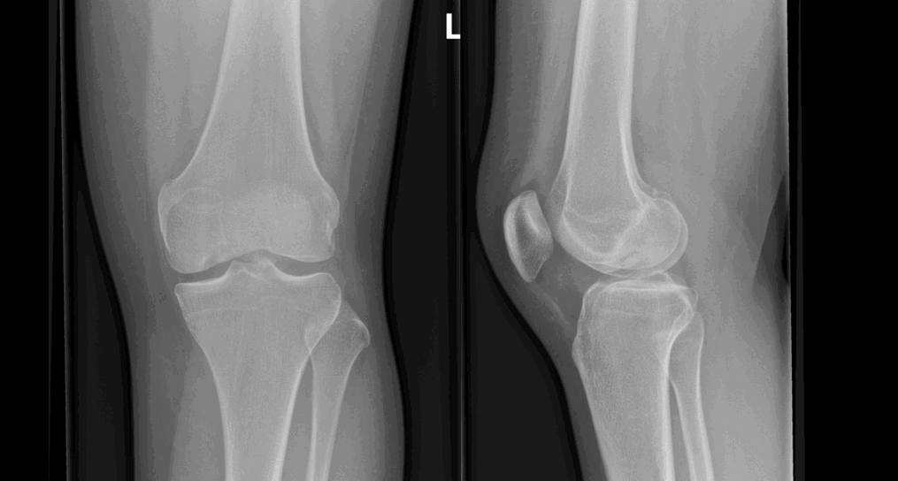
Age 18 female. Referral from GP. History: painful left knee

Examiner marking guidance
Age 18 female. Referral from GP. History: painful left knee
Findings:
Defect in articular surface of medial femoral condyle
Well-circumscribed bony fragment projected over intercondylar region representing detached osteochondral fragment
No joint effusion
Likely diagnosis is osteochondritis dessicans. DD osteochondral #
Management:
OP referral to orthopaedic surgery for further management
Comments: Can be managed conservatively or by surgery
| Sample answer | Answer type | Explanation of scoring allocation |
|
There is an osteochondral defect in the lateral aspect of the medial femoral condyle. There is a bone fragment centrally within the joint space. No joint effusion. Knee MRI and Orthopaedic referral |
High scoring answer |
This answer would score highly because the candidate has identified an osteochondral defect in the medial femoral condyle as well as the loose bone fragment. |
|
There is lucency projected over the lateral femoral condyle of left femur in keeping with an osteochondral defect. A cortical fragment seen in the intercondylar space. No large knee joint effusion identified. Normal alignment Orthopaedic referral and further assessment with MRI may prove beneficial. |
Mid scoring answer |
This answer would not score so highly because the candidate has reported the abnormality, but they have stated that the osteochondral defect is in the lateral rather than the medial femoral condyle. The examiner cannot be sure whether this is a typographical error or the candidate missed the medial condylar defect and over-diagnosed a defect in the lateral femoral condyle. |
|
Well-defined lesion in the right distal femur, with sclerotic margins and a narrow zone of transition. No periosteal bone formation. Referral to orthopaedics due to pain. No concerning imaging features so no further investigation needed. |
Low scoring answer |
This answer has scored low marks for an incorrect diagnosis. |
Age 31 male. Referral from ED. History: Post assault

Examiner marking guidance
Age 31 male. Referral from ED. History: Post assault
Findings:
# angle right mandible
No temporomandibular joint (TMJ) dislocation
Management:
Urgent ENT/maxillofacial surgical referral
Consider facial CT with reconstructions
| Sample answer | Answer type | Explanation of scoring allocation |
|
Right angle of the mandible fracture Refer to max fax surgeon for further management |
High scoring answer |
This answer scored highly as the candidate observed the fracture and described the location accurately. They have also mentioned pertinent negative findings including no right TMJ dislocation. |
|
Acute fracture of the right mandibular angle Formal OPG/mandibular views to assess for further fracture. |
Mid scoring answer |
This answer has scored lower marks as the anatomical location of the right mandibular fracture has been omitted. CT of the brain, facial bones and cervical spine could be considered to be excessive in a young patient. |
|
Left inferior orbital rim fracture Referral to maxillofacial surgeons |
Low scoring answer |
This answer has scored low marks as the mandibular fracture was not mentioned and there is over-diagnosis of a left inferior orbital rim fracture. |
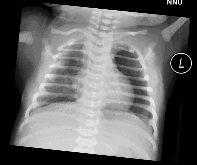
New-born male. Referral from NNU. History: traumatic birth due to shoulder dystocia, query clavicular fracture.

Examiner marking guidance
New-born male. Referral from NNU. History: traumatic birth due to shoulder dystocia, query clavicular fracture
Findings:
Appropriately sited NGT
Left pneumothorax
No evidence of tension
No humeral head ossification so likely premature neonate
No fracture or dislocation
Management:
Telephone NNU to alert clinical team about left PTX
| Sample answer | Answer type | Explanation of scoring allocation |
|
-Nasogastric tube passes into stomach, tip not visualised. Urgently phone NNU to ensure findings are known. |
High scoring answer |
This answer would score highly because the observations are correct, the report is well-structured, and the report has been appropriately escalated |
|
Patient rotated to the left. Notify NICU team. |
Mid scoring answer |
This answer would not score so highly because the candidate is not confident about the left pneumothorax and has over-diagnosed a right clavicular fracture. |
|
NGT in situ appears satisfactory. no clavicle fracture or dislocation seen. imaged lungs appear normal. No further management |
Low scoring answer |
This answer has scored low marks because the candidate has missed an important finding (left pneumothorax). |
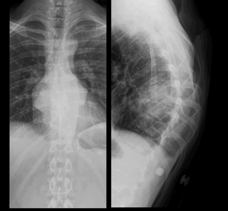
Age 24 male. Referral from GP. History: increasing back pain

Examiner marking guidance
Age 24 male. Referral from GP. History: increasing back pain
Findings:
Bilateral posterior/retrocardiac paraspinal soft tissue
Acute kyphosis, with almost complete collapse of mid thoracic vertebral body (T8) with anterior wedging
Lungs clear, blunting of one posterior costophrenic recesses on lateral view that may be due to small pleural effusion
Likely diagnosis spinal tuberculosis (TB) with paraspinal abscess
Unlikely to be malignancy
Management:
Urgent MRI/spinal referral/TB referral
| Sample answer | Answer type | Explanation of scoring allocation |
|
Bilateral paravertebral stripe widening at T8 with collapse of T8 vertebral body and kyphosis. Urgent MRI whole spine with contrast. Inform referrer urgently. Antibiotics. Microbiology. Drainage. |
High scoring answer |
This answer would score highly because it is accurate and concise with appropriate suggestions for further imaging and management. |
|
Soft tissue mass in the posterior mediastinum causing complete collapse and destruction of a mid-thoracic vertebra and focal kyphosis, this is concerning for spondylodiscitis Compare to previous CXR, email GP the report, advise urgent MRI spine for further evaluation |
Mid scoring answer |
This answer would not score so highly because it is less anatomically detailed (the precise vertebral body is not specified) and a potential causative organism is not mentioned. |
|
-Paravertebral soft tissue densities projected in the retrocardiac region bilaterally. This corresponds with density projected over vertebral bodies on the lateral projection Imp: Paravertebral masses - likely neurogenic e.g. Neurofibroma, schwannoma MRI Thorax is advised. |
Low scoring answer |
This answer is low scoring as neither the T8 vertebral body collapse nor the kyphosis is mentioned. The list of differential diagnoses provided is for a posterior mediastinal mass without recognising that the pathology in this case is centred on the spine. |
CR2B pass/fail decisions
The overall CR2B structure has been maintained whereby all components are taken at the same sitting. However, there has been an adjusted method of calculation to identify pass/fails.
For further information see the scoring system information page
Introduction to changes to the FRCR 2B Exam
Video simulation of the Oral component
A role-played encounter between examiners and candidate for the FRCR Part 2B (CR2B) oral component.
FRCR 2B (Radiology) Exam Preparation Course: Tips & Techniques
Tuesday 12 May 09:00 - 17:00
Our one-day online course is designed for UK and international candidates preparing for the upcoming FRCR Part 2B (CR2B) clinical radiology exam who want to enter their assessment feeling confident and in control.
FAQs
This change was initiated by the RCR to ensure that we can maintain and demonstrate to our regulator that we have a high quality, fair exam whilst supporting an increase in capacity. It also ensures that the exam stays relevant to the needs of the curriculum and training programmes.
We had expert psychometric advice provided to the project team and regular consultation with training programme directors, heads of school and trainees via the RCR’s Junior Radiologist Forum. We had further input from trainees (specifically feedback from piloting exercises) and current examiners (following piloting, standard setting trials, re-marking exercises).
All RCR exams must meet rigorous standards set out by the General Medical Council (GMC). The changes have been thoroughly reviewed by the GMC and were granted approval in November 2024.
The curriculum being examined, and the level of competence expected, is not changing, so you should prepare and revise your radiological knowledge and skills in the same way as before the change. You should make use of the guidance and resources on the RCR website to ensure you are ready for the format and delivery methods.
Instructional videos and updated exam content on the risr/Assess demonstration site are available.
The RCR will be using the same exam venues as in recent years.
On each day of the Oral component, all candidates will be examined on the same set of cases. To ensure that nobody has an unfair advantage by being told about the cases in advance, we must keep candidates isolated.
Exam venues will have rooms set aside for candidates to wait before and after taking the Oral component. Whilst quarantine times may vary, all candidates should be prepared to spend most of the day at the venue. Quarantine times will be indicated on candidates’ individual timetables.
You will not be allowed to use electronic devices whilst being quarantined. Paper-based reading material (such as books, printed text or handwritten notes) is allowed. Candidates suspected of breaking quarantine rules will be investigated in line with the RCR’s Exam Misconduct Policy.
The changes introduced to the scoring system ensure that the exam is fair and appropriately discriminates between passing and failing candidates. They should not make any difference to the way you prepare for the exam or answer questions.
The risr/Assess platform (previously called Practique) has been used for some years for the Rapid Reporting and Long Case components and we are happy that the image definition and manipulation features are sufficient for allowing a fair assessment of candidates’ abilities. We have conducted pilots using the new platform for delivery of the Oral component and it has performed well. Image quality checks will be performed ahead of each sitting as part of the exam's routine quality assurance processes.
The new Short Cases replaced the old Rapid Reporting as the latter does not reflect current radiological practice. Plain radiographic interpretation is an essential skill for radiologists, particularly in the areas of paediatric imaging and chest imaging where the plain radiograph is likely to remain a key imaging modality for the foreseeable future.
The Short Case component will not only assess a candidate’s ability to interpret plain radiographs but also their skill in writing accurate and concise reports with appropriate recommendations to the referrer on further imaging or management, allowing for a more in-depth assessment of plain radiographic interpretation skills.
We believe it will be a more authentic examination as candidates will now be provided with clinical/patient information for each case and will be given sufficient time (five minutes instead of one minute per case) to review the images and produce an actionable report.
The new format allows for more complex plain radiographs to be included in the exam, across a variety of clinical scenarios, and with multiple pathologies.
This was the subject of extensive and wide-ranging discussion by members of the Project Board and key stakeholders. There were several reasons why the decision was made that the Short Cases would include only abnormal cases. Some of the factors considered are listed below:
- The existing Rapid Reporting does not fully assess a candidate’s ability to identify significant pathology or their ability to compose a concise and accurate report with relevant management advice. Consultant radiologists now have less exposure to plain radiographic reporting during training but will be expected to answer queries from junior radiologists or reporting radiographers for challenging cases throughout their career. Core competence in plain radiograph reporting therefore needs to undergo thorough assessment as part of the exam to ensure that trainees are motivated to master this important component of departmental workload.
- It is unrealistic to ask a candidate to decide whether a case is ‘normal’ or ‘abnormal’ in the absence of relevant clinical history or information about the source of the referral (e.g. general practice versus emergency department). Training radiologists are well aware that, for example, a ‘normal’ chest radiograph does not exclude an underlying lung cancer and that a normal appendicular radiograph does not exclude a fracture in the appropriate clinical setting, so may be reluctant to call a case normal in the absence of clinical information.
- Access to CT and MRI has increased since the Rapid Reporting component was introduced, so radiologists now have the freedom to use these modalities in the appropriate clinical setting where a plain radiograph appears normal.
- It is more difficult to create a fair mark scheme for a normal case with appropriate weighting within the structure of the exam without unwittingly demonstrating to the candidate which cases are normal. Abnormal cases included in the exam all contain numerous normal anatomical structures and, as such, will also test a candidate’s ability to recognise normality.
- Exclusion of normal cases allows the candidate to be assessed on a greater range of pathological conditions, thus making the assessment more robust.
Short, simple statements of your observations, diagnosis and recommendation are all that is needed. You do not need to write full sentences. Sample exam content is available on the RCR website.
Examiners will have access to question-specific marking schemes for each case.
The Oral component is marked by the pair of examiners conducting each session. Scores from all examiners (across both stations) are then totalled.
All Short Case and Long Case questions are independently double marked and scores from both examiners contribute to your total final score.
See the scoring system for more details.
We did not change exam fees because of these changes.
All candidates will receive a pass/fail notification with a breakdown of their scores across the three components and standardised feedback. As candidates will be provided with all available details of their performance across each component, no further information will be provided.
As the oral component will be delivered using the risr/assess platform, all marking is captured within the platform and no marking retained in paper-based marksheets.
From June 2025 all candidates will be assessed using the new format, regardless of any previous attempts.
The type of content used in the exam is unchanged and the same minimum standards for passing the exam apply. Previous exam attempts will still count.
All candidates are advised to familiarise themselves with the new elements of the exam so that you know what to expect during the exam.
The short case reporting component will take place first, with a two-hour duration. There will be a 30-minute break before the long case reporting component will start. The long case reporting component has a 75-minute duration.
Details of timings will be provided to candidates with their individual timetables.
Specific result release dates will be added on the website for each exam sitting. Ordinarily results will be available within four weeks after the exam week.
Yes. This can be awarded to an outstanding candidate on recommendation of the Examining Board, based on performance, at each sitting of the exam
Standardised exam content is used across each examining day. To maintain the integrity of the materials, we require candidates to quarantine prior to/after their oral sessions.
Your timetable will clearly state the time that you must be at the exam venue and details of your quarantine arrangement. You should bear this in mind when looking to make any travel arrangements.
Food and drink will be permitted for those in the quarantine room. No electronic devices permitted.
Yes, facial bone and spinal radiographs may be included in the new Short Case Reporting component and will be classified as MSK cases.
There maybe congenital abnormalities. Likewise there maybe “normal variants” - however the short case is an exam of radiology pathology so in the assessment of the radiograph it is important to take into account these findings and determine their relevance by their imaging appearance and the supplied history, which should form part of the image report.
Like reporting any radiograph if there are relevant positive findings this should be part of the report/question answer.
Yes, please include this in your response, even if you are recommending no further management. Candidates should also reflect urgency if relevant to do so.
If the angle is relevant to the report, then a relevant comment on the angle should be included in the question answer.
Yes, relevant pertinent negatives should be include in the report the same as they should be included in a normal radiology report.
Candidates will be shown 12 cases across two oral sessions. All modalities in each case contribute to that one particular case and the candidate’s overall performance in that single case will be scored across the scoring domains. Individual modalities are not scored separately
Yes, examiners will progress candidates through the cases. Examiners may move candidates onto the next case, this may be to ensure candidates have enough opportunity to view the next case or if there is no further discussion needed on that case.
No, once you have moved to the next case in the oral component it is not permitted to go back to a previous one.
If the examiners have no further questions, the session can finish early.
Yes
Examiners have standard questions as the basis for each case but have flexibility to seek clarification of responses or ask for further detail.
Each of the examiners assessing a candidate in the oral component will provide a rating for candidate communication. This is using the same rating scale as for the other assessed domains. The communication rating is based on performance across the six cases in one oral station (rather than per case). As the communication score is assessed per station, it is multiplied by six to ensure it has the same weighting as the other four skill domains.
An initial pass mark for the oral component has been determined (via the Ebel/Angoff standard setting methodology). A post exam review is conducted to ensure consistency and fairness to candidates. This may result in adjustment to the oral pass mark for a particular day of the orals. Information on the pass mark for this component is included in the information sent to candidates following their exam.
You will receive a breakdown of your scores across the three CR2B components. If you receive a zero score for a question or specific domain this means the examiners have allocated a zero score. It does not relate to a missing mark. A number of checks are conducted to ensure that all marking is complete and no marks are missing. You can find more information on the scoring scales used in the CR2B scoring system information.
A thorough post-exam review is conducted to ensure consistency of standards and fairness to candidates whilst upholding patient safety. This may result in the removal of individual questions from the score calculation. Decisions on question removal are taken by an expert panel and with consideration to the question performance and question content. If a decision is made to remove a question, there is a review to ensure that the remaining content still represents appropriate content coverage and exam metrics remain robust and fair. When a flawed question is removed from an exam, candidates are not penalised. This is because a question that doesn’t reliably distinguish between stronger and weaker performance introduces random error rather than meaningful assessment. Removing such a question helps ensure that everyone’s final score is a fairer and more accurate reflection of their true competence.